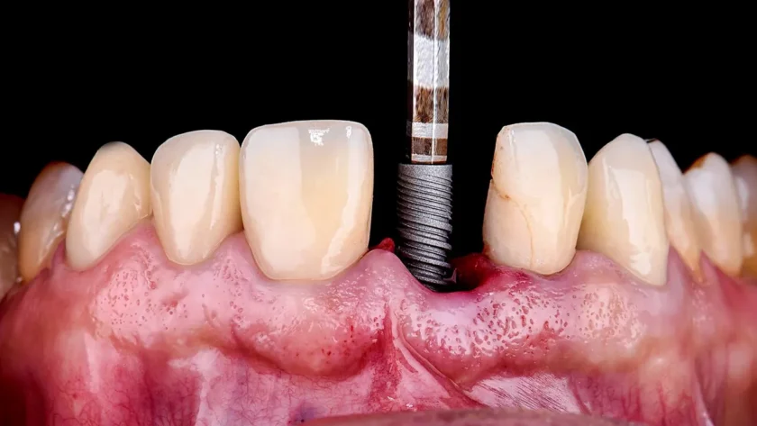
Implanty w jeden dzień to innowacyjna metoda, która zyskuje coraz większą popularność wśród pacjentów poszukujących szybkiego i efektywnego rozwiązania dla brakujących zębów. W Stargardzie wiele klinik stomatologicznych oferuje tę usługę, co pozwala na szybkie przywrócenie funkcji żucia oraz estetyki uśmiechu. Proces ten polega na wszczepieniu implantu dentystycznego w ciągu jednej wizyty, co znacznie skraca czas oczekiwania na pełne uzupełnienie uzębienia. W pierwszej kolejności lekarz przeprowadza dokładną diagnostykę, często z wykorzystaniem zdjęć rentgenowskich, aby ocenić stan kości oraz zaplanować odpowiednią procedurę. Następnie, po znieczuleniu miejscowym, implant jest umieszczany w kości szczęki lub żuchwy. Dzięki nowoczesnym technologiom oraz materiałom, implanty są bardzo trwałe i mogą służyć przez wiele lat.
Czy implanty w jeden dzień są bezpieczne dla pacjentów
Bezpieczeństwo zabiegu wszczepienia implantów w jeden dzień jest kluczowym zagadnieniem dla wielu pacjentów. W Stargardzie lekarze stomatolodzy stosują nowoczesne technologie oraz materiały, które minimalizują ryzyko powikłań. Przed przystąpieniem do zabiegu każdy pacjent przechodzi szczegółową ocenę stanu zdrowia oraz diagnostykę obrazową, co pozwala na wykluczenie ewentualnych przeciwwskazań. W przypadku osób z chorobami przewlekłymi lub innymi problemami zdrowotnymi lekarz może zalecić dodatkowe badania lub konsultacje ze specjalistami. Ważne jest również, aby pacjenci przestrzegali zaleceń pooperacyjnych, takich jak unikanie twardych pokarmów czy dbanie o higienę jamy ustnej. Dzięki temu ryzyko infekcji oraz innych komplikacji jest znacznie mniejsze.
Jakie są koszty implantów w jeden dzień w Stargardzie

Koszty związane z wszczepieniem implantów w jeden dzień mogą się różnić w zależności od wielu czynników, takich jak lokalizacja kliniki, doświadczenie lekarza czy użyte materiały. W Stargardzie ceny mogą być konkurencyjne w porównaniu do większych miast, co czyni tę usługę dostępną dla szerszego grona pacjentów. Zazwyczaj koszt jednego implantu oscyluje wokół kilku tysięcy złotych, a cena ta może obejmować zarówno sam implant, jak i koronę protetyczną. Warto jednak pamiętać, że niektóre kliniki oferują różne formy finansowania lub możliwość rozłożenia płatności na raty, co może ułatwić podjęcie decyzji o leczeniu. Dodatkowo warto zwrócić uwagę na promocje czy pakiety usługowe, które mogą obniżyć całkowity koszt zabiegu.
Jak przebiega proces gojenia po wszczepieniu implantów
Proces gojenia po wszczepieniu implantów w jeden dzień jest kluczowy dla sukcesu całej procedury i może trwać od kilku tygodni do kilku miesięcy. Po zabiegu pacjent powinien ściśle przestrzegać zaleceń lekarza dotyczących pielęgnacji jamy ustnej oraz diety. W pierwszych dniach po operacji zaleca się unikanie twardych pokarmów oraz stosowanie zimnych okładów na obszarze operowanym, co pomoże zmniejszyć obrzęk i ból. Regularne kontrole u stomatologa są istotne dla monitorowania procesu gojenia oraz wykrywania ewentualnych komplikacji na wczesnym etapie. W miarę upływu czasu tkanka kostna zaczyna się integrować z implantem, co jest kluczowe dla jego stabilności i trwałości. Po zakończeniu procesu gojenia można przystąpić do wykonania stałej korony protetycznej, która przywróci pełną funkcjonalność uzębienia oraz estetykę uśmiechu.
Jakie są zalety implantów w jeden dzień w Stargardzie
Implanty w jeden dzień oferują szereg korzyści, które przyciągają pacjentów do klinik stomatologicznych w Stargardzie. Przede wszystkim, najważniejszą zaletą jest czas, w którym pacjent może uzyskać nowy uśmiech. Tradycyjne metody leczenia protetycznego często wymagają wielu wizyt oraz długiego okresu oczekiwania na pełne uzupełnienie uzębienia. W przypadku implantów w jeden dzień, pacjent opuszcza gabinet z tymczasową koroną już po pierwszej wizycie, co pozwala na natychmiastowe cieszenie się estetyką uśmiechu. Kolejną istotną zaletą jest trwałość implantów, które są wykonane z biokompatybilnych materiałów, takich jak tytan. Dzięki temu implanty mogą służyć przez wiele lat, a ich funkcjonalność jest porównywalna z naturalnymi zębami. Dodatkowo, zabieg ten minimalizuje ryzyko utraty kości, ponieważ implant stymuluje tkankę kostną, co zapobiega jej zanikanie.
Jakie są przeciwwskazania do wszczepienia implantów w jeden dzień
Choć implanty w jeden dzień są doskonałym rozwiązaniem dla wielu pacjentów, istnieją pewne przeciwwskazania do przeprowadzenia tego zabiegu. W Stargardzie lekarze stomatolodzy dokładnie oceniają stan zdrowia pacjenta przed przystąpieniem do procedury. Osoby cierpiące na choroby przewlekłe, takie jak cukrzyca czy choroby serca, mogą wymagać dodatkowych badań oraz konsultacji ze specjalistami przed podjęciem decyzji o wszczepieniu implantu. Ponadto, palenie tytoniu może negatywnie wpływać na proces gojenia oraz integrację implantu z kością, dlatego lekarze często zalecają rzucenie palenia przed zabiegiem i w trakcie rehabilitacji. Inne czynniki ryzyka to niewystarczająca ilość tkanki kostnej w miejscu wszczepienia implantu oraz infekcje jamy ustnej. W takich przypadkach lekarz może zalecić dodatkowe procedury, takie jak przeszczep kości lub leczenie stomatologiczne przed przystąpieniem do wszczepienia implantu.
Jakie są opinie pacjentów o implantach w jeden dzień w Stargardzie
Opinie pacjentów dotyczące implantów w jeden dzień w Stargardzie są zazwyczaj pozytywne i pełne entuzjazmu. Wielu pacjentów docenia szybkość oraz efektywność tego rozwiązania, które pozwala im na natychmiastowe cieszenie się nowym uśmiechem. Wiele osób podkreśla również komfort związany z zabiegiem oraz profesjonalizm personelu medycznego. Pacjenci często chwalą lekarzy za ich podejście do tematu oraz zdolność do wyjaśnienia wszystkich aspektów procedury. Dzięki temu czują się pewniej i bardziej komfortowo przed zabiegiem. Z drugiej strony niektórzy pacjenci zwracają uwagę na konieczność przestrzegania zaleceń pooperacyjnych oraz regularnych wizyt kontrolnych, co jest kluczowe dla sukcesu całego procesu leczenia. Warto również zaznaczyć, że opinie mogą się różnić w zależności od indywidualnych doświadczeń oraz oczekiwań pacjentów.
Jak przygotować się do zabiegu wszczepienia implantów
Przygotowanie do zabiegu wszczepienia implantów w jeden dzień jest kluczowym etapem, który wpływa na jego powodzenie i komfort pacjenta. W Stargardzie lekarze stomatolodzy zalecają kilka kroków przed przystąpieniem do procedury. Po pierwsze, ważne jest przeprowadzenie dokładnej diagnostyki stomatologicznej, która obejmuje zdjęcia rentgenowskie oraz ocenę stanu zdrowia jamy ustnej. Na tej podstawie lekarz może ocenić ilość tkanki kostnej oraz zaplanować odpowiednią metodę wszczepienia implantu. Kolejnym krokiem jest omówienie z lekarzem wszystkich przyjmowanych leków oraz suplementów diety, aby uniknąć ewentualnych interakcji podczas zabiegu. Pacjenci powinni również zadbać o odpowiednią higienę jamy ustnej przed wizytą oraz unikać palenia tytoniu i alkoholu przez kilka dni przed zabiegiem. Dobrze jest także przygotować się psychicznie na nadchodzącą procedurę poprzez zdobycie informacji na temat przebiegu zabiegu i jego efektów.
Jak długo trwa proces integracji implantu po zabiegu
Proces integracji implantu po zabiegu wszczepienia jest kluczowy dla jego trwałości i funkcjonalności. Po wszczepieniu implantu dentystycznego następuje okres gojenia, który może trwać od kilku tygodni do kilku miesięcy. W przypadku implantów w jeden dzień pacjent otrzymuje tymczasową koronę już podczas pierwszej wizyty, co pozwala mu cieszyć się estetyką uśmiechu od razu po zabiegu. Jednak pełna integracja implantu z tkanką kostną wymaga czasu i cierpliwości ze strony pacjenta. Zazwyczaj proces ten trwa od 3 do 6 miesięcy i zależy od wielu czynników, takich jak stan zdrowia pacjenta, jakość kości czy przestrzeganie zaleceń pooperacyjnych. W trakcie tego okresu ważne jest regularne kontrolowanie stanu implantu przez stomatologa oraz dbanie o higienę jamy ustnej.
Jak dbać o implanty po ich wszczepieniu
Dbanie o implanty po ich wszczepieniu jest kluczowe dla zapewnienia ich długowieczności i prawidłowego funkcjonowania. Po zakończeniu procesu gojenia i integracji implantu z kością ważne jest przestrzeganie zasad higieny jamy ustnej podobnych do tych stosowanych przy naturalnych zębach. Pacjenci powinni regularnie szczotkować zęby co najmniej dwa razy dziennie używając pasty zawierającej fluor oraz nitkować przestrzenie międzyzębowe przynajmniej raz dziennie. Dodatkowo warto stosować płyny do płukania jamy ustnej zawierające składniki antybakteryjne, które pomogą utrzymać zdrowe dziąsła wokół implantu. Regularne wizyty kontrolne u stomatologa są niezbędne dla monitorowania stanu zdrowia jamy ustnej oraz wykrywania ewentualnych problemów na wczesnym etapie. Pacjenci powinni również unikać twardych pokarmów oraz nadmiernego obciążania implantu w pierwszych miesiącach po jego wszczepieniu.
Czy implanty w jeden dzień są odpowiednie dla każdego
Implanty w jeden dzień to innowacyjne rozwiązanie, które nie zawsze jest odpowiednie dla każdego pacjenta. Choć metoda ta ma wiele zalet i może być atrakcyjna dla osób pragnących szybko odzyskać pełny uśmiech, istnieją pewne ograniczenia związane z jej zastosowaniem. Przede wszystkim kluczowym czynnikiem jest stan zdrowia pacjenta oraz jakość tkanki kostnej w miejscu planowanego wszczepienia implantu. Osoby z chorobami przewlekłymi lub niewystarczającą ilością kości mogą potrzebować dodatkowych procedur przed przystąpieniem do wszczepienia implantu lub mogą być skierowane do tradycyjnych metod leczenia protetycznego.






