Kiedy mówimy o zdrowiu, często skupiamy się na narządach wewnętrznych, układzie krążenia czy układzie nerwowym. Jednak równie istotną, a często niedocenianą rolę odgrywa higiena i kondycja jamy ustnej. W tym kontekście kluczową postacią jest stomatolog, lekarz specjalizujący się w diagnozowaniu, leczeniu i profilaktyce schorzeń zębów, dziąseł, przyzębia oraz innych struktur jamy ustnej. Jego praca wykracza daleko poza proste wypełnianie ubytków; obejmuje kompleksową opiekę nad całym uzębieniem i jego otoczeniem, mającą na celu nie tylko estetykę, ale przede wszystkim utrzymanie zdrowia i pełnej funkcjonalności narządu żucia.
Stomatolog diagnozuje szeroki wachlarz problemów, od próchnicy, przez choroby dziąseł, aż po bardziej złożone schorzenia takie jak zapalenie miazgi, paradontoza czy nawet nowotwory jamy ustnej. Wykorzystuje do tego celu różnorodne narzędzia diagnostyczne, w tym badania kliniczne, radiowizjografię (rentgen), tomografię komputerową, a także wiedzę z zakresu anatomii, fizjologii i patologii. Następnie, na podstawie postawionej diagnozy, dobiera odpowiednią metodę leczenia, która może obejmować zabiegi zachowawcze, chirurgiczne, protetyczne czy ortodontyczne. Współczesna stomatologia oferuje szerokie spektrum możliwości terapeutycznych, od minimalnie inwazyjnych procedur po skomplikowane operacje.
Ważnym aspektem pracy stomatologa jest również profilaktyka. Edukacja pacjentów w zakresie prawidłowej higieny jamy ustnej, techniki szczotkowania, stosowania nici dentystycznej czy płukanek, a także regularne kontrole i profesjonalne zabiegi higienizacyjne, takie jak skaling czy piaskowanie, pozwalają zapobiegać wielu problemom, zanim zdążą się rozwinąć. Dbanie o zdrowie jamy ustnej ma również wpływ na ogólny stan zdrowia organizmu, ponieważ infekcje w jamie ustnej mogą być źródłem problemów kardiologicznych, cukrzycy czy schorzeń autoimmunologicznych. Dlatego rola stomatologa w systemie opieki zdrowotnej jest nie do przecenienia.
Jakie rodzaje usług oferuje nam stomatolog specjalizujący się w leczeniu zębów
Zakres usług oferowanych przez współczesnego stomatologa jest niezwykle szeroki i obejmuje różnorodne dziedziny, mające na celu zapewnienie kompleksowej opieki nad zdrowiem jamy ustnej pacjenta. Od podstawowych zabiegów profilaktycznych, przez leczenie zachowawcze, aż po zaawansowane procedury chirurgiczne i protetyczne, stomatolog dysponuje wiedzą i narzędziami, aby sprostać niemal każdemu wyzwaniu. Kluczowe jest zrozumienie, że stomatolog to nie tylko specjalista od „dziurawych zębów”, ale lekarz o interdyscyplinarnym podejściu, który dba o funkcjonalność, estetykę i zdrowie całego narządu żucia.
Podstawą oferty każdego gabinetu stomatologicznego są usługi z zakresu stomatologii zachowawczej. Obejmuje ona leczenie próchnicy na różnych etapach jej rozwoju. Stomatolog usuwa zainfekowane tkanki zęba, a następnie odbudowuje jego kształt i funkcję za pomocą materiałów kompozytowych, amalgamatu (choć coraz rzadziej stosowanego ze względu na estetykę i bezpieczeństwo) lub innych nowoczesnych wypełnień. Działania te mają na celu przywrócenie integralności zęba i zapobieganie dalszemu rozwojowi infekcji, która mogłaby dotrzeć do miazgi zęba, prowadząc do konieczności leczenia kanałowego.
W ramach stomatologii zachowawczej mieszczą się również zabiegi endodontyczne, czyli leczenie kanałowe. Kiedy próchnica lub uraz doprowadzą do zapalenia miazgi zęba, konieczne jest usunięcie zainfekowanej lub martwej tkanki z kanałów korzeniowych. Współczesna endodoncja, często wspomagana przez mikroskopy zabiegowe i nowoczesne narzędzia, pozwala na skuteczne leczenie nawet bardzo skomplikowanych przypadków, ratując ząb przed ekstrakcją. Po leczeniu kanałowym ząb często wymaga wzmocnienia i odbudowy, co może obejmować zastosowanie wkładów koronowo-korzeniowych i koron protetycznych.
Innym ważnym obszarem działalności stomatologa jest profilaktyka i higienizacja jamy ustnej. Regularne wizyty kontrolne pozwalają na wczesne wykrycie ewentualnych problemów, zanim staną się poważne. Profesjonalne zabiegi higienizacyjne, takie jak skaling (usuwanie kamienia nazębnego), piaskowanie (usuwanie osadu) oraz fluoryzacja (wzmocnienie szkliwa), są kluczowe dla utrzymania zdrowia dziąseł i zapobiegania próchnicy. Stomatolog udziela również pacjentom wskazówek dotyczących prawidłowej higieny w domu, doboru odpowiednich szczoteczek, past do zębów i nici dentystycznych.
Nie można zapomnieć o stomatologii estetycznej, która odpowiada na rosnące zapotrzebowanie pacjentów na piękny uśmiech. Obejmuje ona zabiegi takie jak wybielanie zębów, korekta kształtu i wielkości zębów za pomocą licówek kompozytowych lub ceramicznych, a także zamykanie diastem (przerw między zębami). Działania te mają na celu poprawę wyglądu uśmiechu, co często przekłada się na wzrost pewności siebie pacjenta.
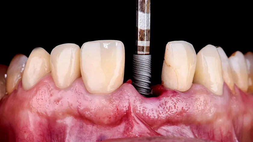
W sytuacji poważniejszych problemów, stomatolog może skierować pacjenta do specjalisty lub sam przeprowadzić zabiegi z zakresu chirurgii stomatologicznej, na przykład ekstrakcje zębów (w tym ósemek), resekcje wierzchołków korzeni, leczenie przetok czy usuwanie zmian patologicznych w jamie ustnej. W przypadku utraty zębów, kluczową rolę odgrywa protetyka stomatologiczna, która oferuje rozwiązania takie jak korony, mosty czy protezy ruchome, a także nowoczesne implanty zębowe, pozwalające na trwałe odtworzenie brakujących zębów i przywrócenie pełnej funkcji żucia.
Warto również wspomnieć o stomatologii dziecięcej, czyli pedodoncji, która skupia się na specyficznych potrzebach najmłodszych pacjentów. Pedodonci dbają o rozwój zgryzu, profilaktykę próchnicy u dzieci, leczenie zębów mlecznych oraz edukację rodziców. Celem jest stworzenie pozytywnych doświadczeń z wizyt u dentysty już od najmłodszych lat, co procentuje w przyszłości.
Kiedy należy udać się do stomatologa i jakie objawy powinny nas zaniepokoić

Jednak istnieją konkretne sygnały, które powinny skłonić nas do pilnej wizyty u stomatologa. Ból zębów jest jednym z najczęstszych powodów, dla których pacjenci szukają pomocy. Może on mieć różne nasilenie i charakter – od pulsującego, przez ostry, po tępy. Ból może pojawiać się podczas jedzenia, picia gorących lub zimnych napojów, a czasami może być stały i nie ustępować samoistnie. Należy pamiętać, że ból zęba, zwłaszcza ten o silnym natężeniu, często świadczy o zaawansowanym procesie zapalnym, który może obejmować miazgę zęba (zapalenie miazgi) lub tkanki otaczające korzeń (zapalenie okołowierzchołkowe). Ignorowanie bólu może prowadzić do rozwoju ropni, utraty zęba, a nawet rozprzestrzenienia się infekcji na inne części ciała.
Krwawienie z dziąseł, zwłaszcza podczas szczotkowania zębów lub nitkowania, jest kolejnym ważnym sygnałem. Choć może wydawać się niegroźne, często jest pierwszym objawem zapalenia dziąseł (gingivitis), które nieleczone może przejść w paradontozę – poważną chorobę przyzębia prowadzącą do stopniowego niszczenia struktur kostnych wokół zębów i w konsekwencji do ich utraty. Dziąsła powinny być różowe i przylegać ściśle do zębów; zaczerwienienie, obrzęk, bolesność i skłonność do krwawienia to sygnały alarmowe.
Zmiany w wyglądzie zębów lub dziąseł również wymagają konsultacji. Mogą to być przebarwienia, plamy na szkliwie, pojawienie się ubytków, pęknięcia, starcie zębów, a także zmiany w obrębie dziąseł, takie jak odsłonięcie szyjek zębowych, cofanie się dziąseł, powstanie kieszonek dziąsłowych czy pojawienie się nalotu o nieprzyjemnym zapachu. Niepokojące mogą być również guzki lub owrzodzenia na dziąsłach lub błonie śluzowej policzków, języka czy podniebienia, które mogą być objawem infekcji, zapalenia lub – w rzadszych przypadkach – zmian nowotworowych. Wczesne wykrycie takich zmian jest kluczowe dla powodzenia leczenia.
Nieprzyjemny zapach z ust (halitoza), który nie ustępuje pomimo starannej higieny jamy ustnej, może być symptomem problemów stomatologicznych, takich jak próchnica, choroby dziąseł, problemy z resztkami pokarmu zalegającymi w przestrzeniach międzyzębowych czy na języku, a także niewłaściwie dopasowanych uzupełnień protetycznych. Choć halitoza może mieć również podłoże ogólnoustrojowe lub związane z dietą, zawsze warto wykluczyć przyczyny stomatologiczne.
Zmiany w zgryzie, uczucie przesuwania się zębów, nadwrażliwość na zmiany temperatury, trudności w gryzieniu lub żuciu pokarmów, a także urazy mechaniczne zębów (np. po upadku) to kolejne sytuacje wymagające pilnej konsultacji ze stomatologiem. Dotyczy to również sytuacji, gdy mamy podejrzenie, że nasze dotychczasowe leczenie stomatologiczne nie przynosi oczekiwanych rezultatów lub pojawiły się nowe dolegliwości związane z poprzednimi zabiegami.
Pamiętajmy, że stomatolog jest lekarzem, który może pomóc w wielu schorzeniach. Regularne wizyty kontrolne, połączone z uważną obserwacją własnego ciała i reakcją na wszelkie niepokojące symptomy, są najlepszą drogą do utrzymania zdrowego i pięknego uśmiechu przez wiele lat. Nie należy zwlekać z wizytą, ponieważ wiele problemów stomatologicznych jest łatwiejszych do wyleczenia we wczesnym stadium.
Jakie umiejętności posiada stomatolog w zakresie leczenia chorób przyzębia
Choroby przyzębia, potocznie nazywane paradontozą, stanowią poważne zagrożenie dla zdrowia jamy ustnej, prowadząc do stopniowego niszczenia tkanek otaczających zęby, takich jak dziąsła, więzadła przyzębowe i kość wyrostka zębodołowego. Stomatolog, zwłaszcza ten z doświadczeniem w periodontologii, dysponuje szerokim wachlarzem umiejętności i wiedzy, aby skutecznie diagnozować, leczyć i zarządzać tymi schorzeniami. Kluczowe jest zrozumienie, że leczenie chorób przyzębia wymaga często długoterminowej współpracy między pacjentem a lekarzem, a celem jest nie tylko zatrzymanie postępu choroby, ale także przywrócenie zdrowia i funkcji przyzębia.
Podstawową umiejętnością stomatologa w tym obszarze jest precyzyjna diagnostyka. Obejmuje ona szczegółowe badanie kliniczne jamy ustnej, ocenę stanu dziąseł (kolor, spoistość, obecność obrzęku, krwawienie), pomiar głębokości kieszonek przyzębowych za pomocą specjalnej sondy, ocenę ruchomości zębów oraz badanie radiologiczne (zdjęcia rentgenowskie), które pozwala ocenić stopień utraty kości wyrostka zębodołowego. Stomatolog potrafi również rozpoznać różne stadia i formy chorób przyzębia, od łagodnego zapalenia dziąseł po zaawansowaną paradontozę.
Kolejnym kluczowym elementem jest profesjonalna higienizacja. Stomatolog wykonuje zabiegi takie jak skaling nad- i poddziąsłowy, czyli usuwanie kamienia nazębnego, który jest głównym czynnikiem etiologicznym chorób przyzębia. Stosuje również piaskowanie w celu usunięcia osadu i przebarwień, a także polerowanie powierzchni korzeni zębów, aby wygładzić szkliwo i cement korzeniowy, utrudniając ponowne przyleganie bakterii. Te zabiegi są fundamentalne dla redukcji obciążenia bakteryjnego w jamie ustnej.
W leczeniu chorób przyzębia stomatolog stosuje również metody niechirurgiczne. Obejmują one głębokie czyszczenie kieszonek przyzębowych (scaling i wygładzanie korzeni), które jest wykonywane zazwyczaj w znieczuleniu miejscowym i ma na celu usunięcie złogów bakteryjnych i toksyn spod linii dziąseł. Stomatolog może również przepisać odpowiednie antybiotyki lub środki antyseptyczne do stosowania miejscowego lub ogólnego, w zależności od stopnia zaawansowania infekcji.
W przypadkach bardziej zaawansowanych chorób przyzębia, stomatolog może kwalifikować pacjentów do leczenia chirurgicznego. Umiejętności chirurga stomatologa lub periodontologa obejmują takie procedury jak: płat korygujący (podniesienie dziąsła w celu odsłonięcia korzeni zębów do dokładniejszego oczyszczenia), chirurgiczne zamknięcie kieszonek przyzębowych, resekcja wierzchołka korzenia, czy też zabiegi regeneracyjne mające na celu odbudowę utraconej kości i tkanek przyzębia za pomocą materiałów kościozastępczych lub membran kierujących regenerację.
Stomatolog posiada także wiedzę z zakresu protetyki stomatologicznej, która jest ściśle powiązana z leczeniem chorób przyzębia. W przypadku, gdy choroba doprowadziła do utraty zębów lub ich znacznego rozchwiania, stomatolog potrafi zaproponować i wykonać odpowiednie uzupełnienia protetyczne, takie jak mosty czy protezy, które stabilizują pozostałe zęby i przywracają prawidłową funkcję żucia. W tym kontekście, kluczowe jest umiejętne projektowanie uzupełnień tak, aby nie obciążały dodatkowo chorych tkanek przyzębia.
Istotną umiejętnością stomatologa jest również edukacja pacjenta. Pacjent z chorobą przyzębia musi być świadomy swojej sytuacji i aktywnie uczestniczyć w procesie leczenia. Stomatolog udziela szczegółowych instrukcji dotyczących prawidłowej higieny jamy ustnej w domu, doboru odpowiednich szczoteczek międzyzębowych, irygatorów czy specjalistycznych past do zębów. Regularne wizyty kontrolne i profesjonalne zabiegi higienizacyjne są niezbędne do długoterminowego utrzymania efektów leczenia i zapobiegania nawrotom choroby.
Jakie są główne wyzwania dla stomatologa w kontekście nowoczesnej stomatologii cyfrowej
Nowoczesna stomatologia cyfrowa rewolucjonizuje sposób, w jaki dentyści diagnozują, planują i przeprowadzają leczenie. Chociaż oferuje ogromne korzyści pod względem precyzji, efektywności i komfortu pacjenta, stanowi również szereg wyzwań dla stomatologów. Integracja nowych technologii wymaga ciągłego uczenia się, inwestycji i adaptacji do zmieniających się standardów praktyki. Kluczowe jest zrozumienie, że cyfryzacja nie zastępuje wiedzy i umiejętności lekarza, ale je uzupełnia i wzbogaca.
Jednym z największych wyzwań jest konieczność ciągłego podnoszenia kwalifikacji i zdobywania nowych umiejętności. Stomatologia cyfrowa obejmuje szeroki zakres technologii, od skanerów wewnątrzustnych, przez systemy CAD/CAM do projektowania i frezowania uzupełnień protetycznych, po oprogramowanie do planowania leczenia implantologicznego i ortodontycznego z wykorzystaniem tomografii komputerowej (CBCT). Stomatolog musi opanować obsługę tych narzędzi, zrozumieć ich możliwości i ograniczenia, a także nauczyć się integrować dane z różnych źródeł w spójny plan leczenia. Szkolenia, warsztaty i konferencje stają się nieodłącznym elementem rozwoju zawodowego.
Kolejnym wyzwaniem są koszty związane z wprowadzaniem i utrzymaniem nowoczesnego sprzętu cyfrowego. Skanery wewnątrzustne, frezarki, drukarki 3D, aparatura do radiowizjografii cyfrowej czy systemy do planowania leczenia to znaczące inwestycje, które muszą zostać zbilansowane przez potencjalne korzyści, takie jak zwiększona wydajność czy przyciągnięcie większej liczby pacjentów. Stomatolog musi dokładnie kalkulować opłacalność wdrożenia poszczególnych technologii i zarządzać budżetem gabinetu w sposób efektywny.
Integracja różnych systemów cyfrowych i zapewnienie interoperacyjności danych to kolejne wyzwanie. Często gabinety stomatologiczne korzystają z rozwiązań od różnych producentów, a wymiana danych między nimi może być utrudniona. Konieczne jest stosowanie standardów wymiany informacji (np. DICOM w przypadku obrazowania medycznego) oraz dbanie o bezpieczeństwo i poufność danych pacjentów, co jest regulowane przez przepisy o ochronie danych osobowych (RODO). Zapewnienie płynnego przepływu informacji między różnymi urządzeniami i oprogramowaniem jest kluczowe dla efektywnego planowania i realizacji leczenia.
Stomatolog musi również stawić czoła wyzwaniu związanemu z zarządzaniem danymi cyfrowymi. Ilość generowanych danych – skany, zdjęcia rentgenowskie, modele 3D – jest ogromna. Konieczne jest wdrożenie systemów archiwizacji i backupu, które zapewnią bezpieczeństwo danych i ich dostępność w razie potrzeby. Ponadto, analiza tych danych wymaga odpowiednich umiejętności i oprogramowania, aby wyciągnąć z nich jak najwięcej informacji diagnostycznych i terapeutycznych.
Wpływ stomatologii cyfrowej na relację lekarz-pacjent to kolejny aspekt, który wymaga uwagi. Choć cyfrowe narzędzia mogą ułatwić komunikację i wyjaśnienie pacjentowi planu leczenia (np. poprzez wizualizacje 3D), istnieje ryzyko, że nadmierne skupienie na technologii może osłabić bezpośredni kontakt i empatię. Stomatolog musi umiejętnie balansować między wykorzystaniem nowoczesnych narzędzi a budowaniem zaufania i poczucia bezpieczeństwa u pacjenta. Jasne wyjaśnianie korzyści płynących z cyfrowych rozwiązań, takich jak mniejsza inwazyjność czy szybszy powrót do zdrowia, jest kluczowe dla akceptacji ze strony pacjentów.
Wreszcie, stomatolog musi być świadomy potencjalnych błędów lub ograniczeń technologii cyfrowych. Żadne oprogramowanie ani urządzenie nie jest nieomylne. Ważne jest, aby lekarz zachował krytyczne myślenie, weryfikował wyniki generowane przez systemy cyfrowe i opierał się na swojej wiedzy klinicznej oraz doświadczeniu. Należy również pamiętać, że technologia stale się rozwija, a to, co dziś jest najnowocześniejsze, jutro może być standardem lub nawet przestarzałe. Dlatego kluczowa jest otwartość na zmiany i gotowość do ciągłego uczenia się.
„`






